orthonik-Left block en.pngorthonik-Right block en.png

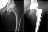
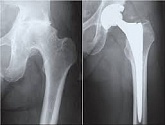
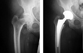
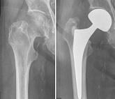
Еndoprosthesis of hip joint

In the late stages of arthrosis of the hip joint, medial fractures of the femoral neck in the older age group, the only way to recover is to replace the affected joint with an artificial joint - arthroplasty.
This method allows you to return the limb's limb, the full volume of movements in the affected joint, to save from constant pain and crunch during movements and, as a consequence, to return the patient to a full active life.
Below are presented X-ray photographs and photographs, illustrating the amount of motion in the affected joint before and after surgery.


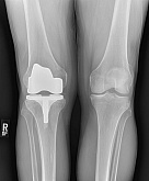
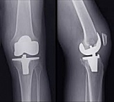
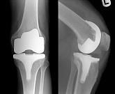
Еndoprosthesis of knee joint

In the late stages of arthrosis of the knee joint, accompanied by a pronounced restriction of the volume of movements, constant intense pain, deformity of the limb, the only way to recover is to replace the affected joint with an artificial joint - arthroplasty.
This method allows you to return the correct form of the limb, the full volume of movements in the joint, relieve the constant pain and crunch during movements and, as a result, significantly improve the patient's quality of life.
Below are presented X-ray photographs and photographs, illustrating the amount of motion in the affected joint before and after surgery.