orthonik-Left block en.pngorthonik-Right block en.png
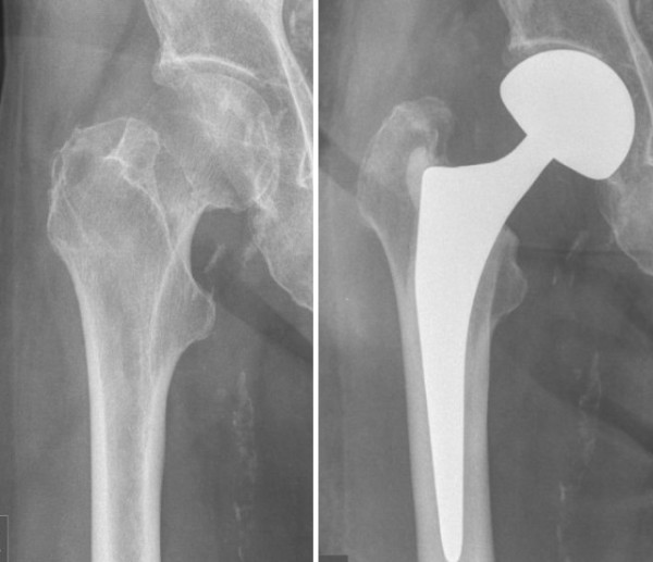
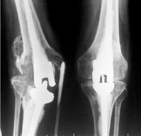
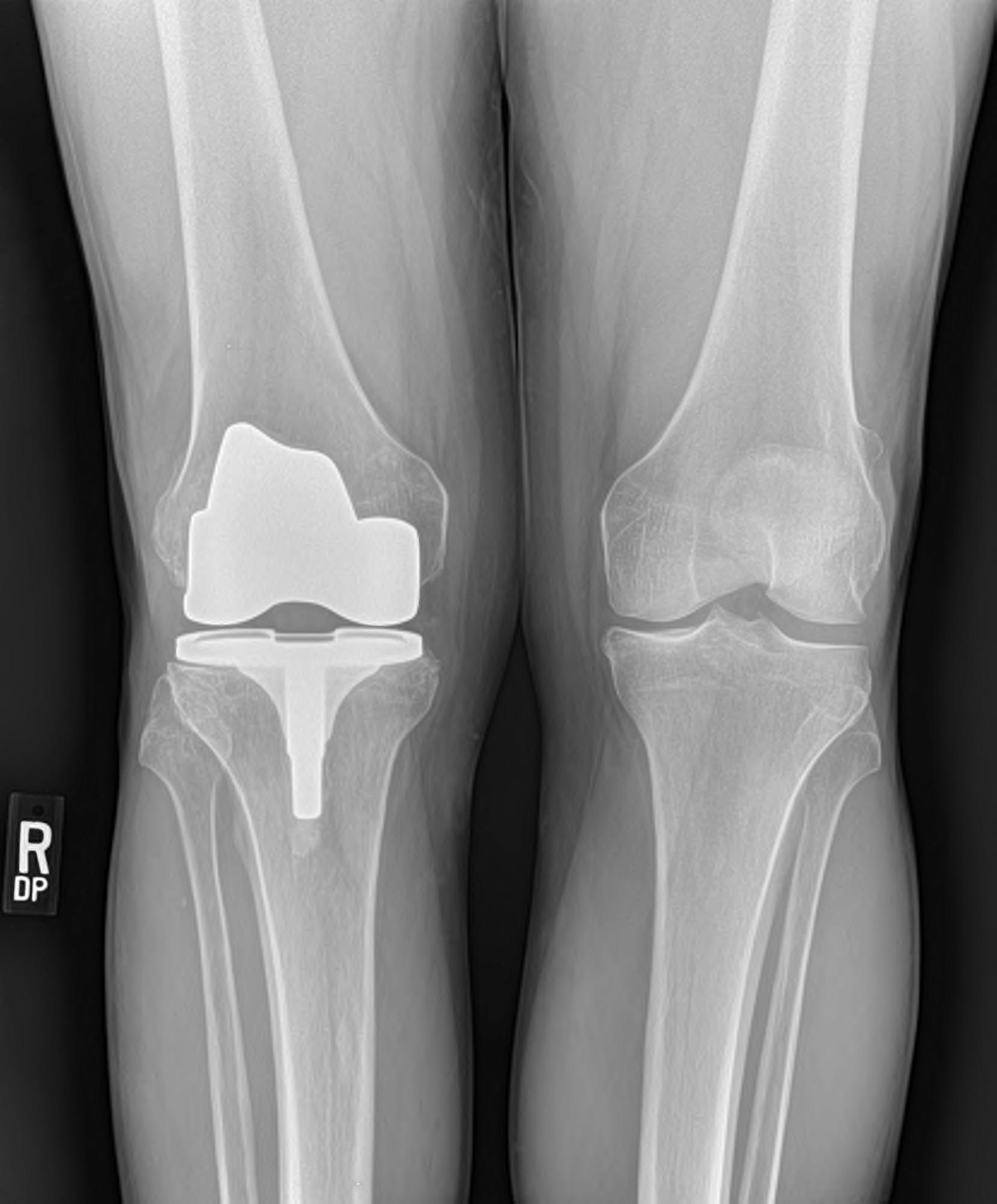
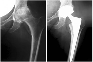
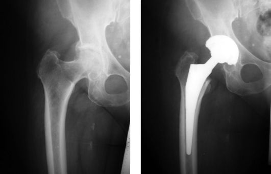
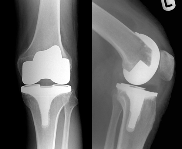
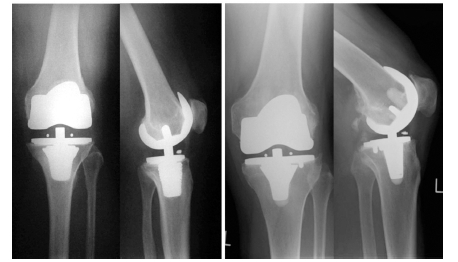
The company ORTHOPEDIC NIKIFOROV was founded in 1998 by the candidate of medical sciences. doctor of orthopedic-traumatologist of the highest category Nikiforov IA Owing to high professionalism and results of work, ORTONIC has gained well-deserved reputation and reputation among colleagues and population of Dnepropetrovsk region and CIS countries (Russia, Moldova, Armenia, etc.). The principle of the enterprise is NO IMPOSSIBLE, it is based on knowledge, experience and active implementation of modern technologies in orthopedics and traumatology. Conservative methods of treatment include individual selection of medicines, therapeutic blockades, manual therapy, massage, physiotherapy (vibration table, magnetotherapy, bioptron, electromyostimulation, etc.), rehabilitation with the suggestion of the necessary concomitant devices and means for the fastest recovery (corsets, bandages, various joint fixators, crutches, walking sticks, etc.). Various minor invasive interventions (chymonucleolysis, vertebroplasty, kyphoplasty, percutaneous nucleoplasty using cold plasma) that are performed on an outpatient basis are successfully used to treat problems associated with spine pathology. The latest modern treatment methods introduced in our company are endoscopic operations using the TYSSES technique of Joimax (Germany) with intervertebral hernias, stenosis and other pathologies of the spine, which allow to avoid complications occurring during open operations and the accompanying general anesthesia. We have many years of successful experience in traditional and modern minimally invasive endoprosthetics of large and small joints, which remains the main direction of our activity. Our company is the exclusive representative of the German company IO International Orthopaedics Holding GmbH, which based on the already known prostheses, its ideas and technological capabilities, has developed and implemented a new concept in hip replacement - an artificial joint prosthesis (ICON). We assist interested colleagues in training the operative technique for installing an artificial joint prosthesis - ICON, both in the workplace and in Germany. For 20 years we have been successfully cooperating with Sanitatshaus Gerd Klinz ortho team, an enterprise that for 20 years has been one of the leading places in Germany for the production of functional prostheses of the upper and lower limbs, as well as cosmetic prostheses of limbs and other body parts (nose, ears, eyeballs, fingers). We have an atmosphere of friendliness and human participation. Politeness, benevolence, the desire to understand and help is the basis of our attitude towards patients. We are always glad to see you and will do our best to make you feel great! We are waiting for you at: Ukraine, Dnepr, Gagarin Ave., 13 (under reconstruction) on all questions to address: tel .: +38 (050) 488-88-92 E-mail: orthonik.ukr@gmail.com Germany, Spine Nano Klinik, Zeppelinstr. 21, Potsdam Tel. +4901801121919 E-mail: kmw.nikiforov@hotmail.de