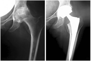
Eine der erfahrensten Kliniken. Wir lassen Träume wahr werden. In 19 Jahren wurden kooperieren wir erfolgreich mit Sanitätshaus Gerd Klinz ortho-Team - jetzt, wo seit 30 Jahren ist nimmt eine führende Position in Deutschland zur Herstellung von funktionellen Prothesen oberer, unterer Extremitäten, sowie kosmetischer Prothesen und anderen Körperteilen (Nase. Ohren, Augäpfel, Finger). Wir verkörpern die Träume unserer Patienten.
Wir haben eine Atmosphäre von Freundlichkeit und menschlicher Beteiligung.
Höflichkeit, Freundlichkeit, der Wunsch, zu verstehen und zu helfen - ist die Grundlage unserer Beziehung zu den Patienten.
Sie sind immer willkommen und werden alles tun, damit Sie sich wohl fühlen machen!
Konservative (nicht-chirurgische) Behandlung (oder Therapie) wird durch chemische, physikalische und biologische Methoden durchgeführt und zielt auf die Linderung, Beseitigung oder Beseitigung der Symptome und Manifestationen einer bestimmten Krankheit, pathologischen Zustand oder einer anderen Behinderung.
Erfahren Sie mehr +Minimal-invasive Chirurgie ist eine Operation, die darauf abzielt, den Bereich der Interferenz im Körper und den Grad des Gewebetraumas zu minimieren. Die wichtigsten Techniken für minimal-invasive Eingriffe sind die laparoskopische (endoskopische) Chirurgie und die Endoskopie.
Vorteile minimalinvasiver Operationen: extrem geringe Schädigungen des Körpers, ohne die Effektivität des chirurgischen Eingriffs zu reduzieren, der durch den Einsatz von ultradünnem Nahtmaterial und endoskopischer Ausrüstung erreicht wird; es besteht keine Notwendigkeit für eine verlängerte Bettruhe, da die Operationen unter den Bedingungen einer Klinik desselben Tages durchgeführt werden; gut verträglich für Patienten, da kein ausgeprägtes Schmerzsyndrom vorliegt; Durch die Verkürzung der Operationsdauer und die Verringerung der Traumatisierung von Weichteilen wird ein hohes therapeutisches und kosmetisches Ergebnis erzielt.
Es werden spezielle medizinische Geräte wie Glasfaserkabel, Miniatur-Videokameras und spezielle chirurgische Instrumente verwendet, die durch kleine Löcher manipuliert werden. Bilder von inneren Organen werden auf einen externen Videomonitor übertragen und der Chirurg kann auf der Basis des Bildes diagnostizieren und die notwendige Operation durchführen.