orthonik-Linker Block-de.pngRechter Block de.png

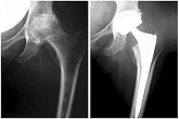
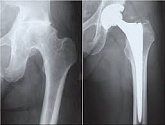
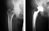
Hüftendoprothetik

In den späten Stadien der Arthrose des Hüftgelenks, mediale Frakturen des Schenkelhalses in der älteren Altersgruppe, ist die einzige Möglichkeit, sich zu erholen, das betroffene Gelenk durch eine künstliche Gelenkarthroplastik zu ersetzen.
Diese Methode ermöglicht es Ihnen, die Gliedmaße, das volle Volumen der Bewegungen im betroffenen Gelenk, zurückzugeben, um von ständigem Schmerz und Knirschen während der Bewegungen zu sparen und folglich den Patienten zu einem vollen aktiven Leben zurückzubringen.
Im Folgenden werden Röntgenaufnahmen und Fotografien vorgestellt, die das Ausmaß der Bewegung im betroffenen Gelenk vor und nach der Operation zeigen.


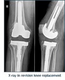
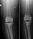
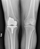
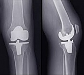
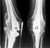
Endoprothetik des Kniegelenks

In den späten Stadien der Arthrose des Knies durch eine ausgeprägte Begrenzung der Bewegung begleitet, konstant starke Schmerzen, körperliche Unversehrtheit Verformung bis zur Genesung der einzige Weg ist der Ersatz des betroffenen Gelenks für eine künstliche - Endoprothetik.
Diese Methode ermöglicht es Ihnen, die richtige Form des Gliedes, eine vollständige Palette von Bewegung im Gelenke, zu entlasten ständige Schmerzen und Knirschen bei Bewegung und als Ergebnis wieder herzustellen, signifikant dem Patienten Lebensqualität zu verbessern.
Im Folgenden sind Röntgenaufnahmen und Fotografien, die die Strecke der Bewegung in der betroffenen Gelenke vor und nach der Operation veranschaulichen.